दांतों की कैविटी से पाना है छुटकारा तो ये घरेलु नुस्खे हैं बेहद कारगर
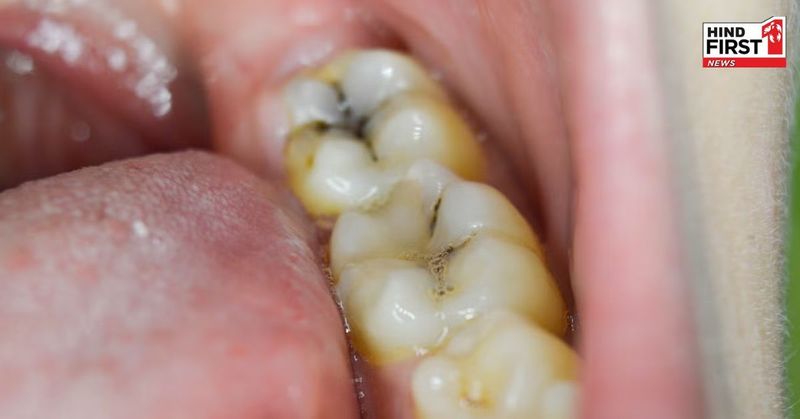
Home Remedies Cavities: दांतों में होने वाली सड़न, जिसे डेंटल कैरीज़ या दांतों की सड़न भी कहते हैं, आपके दांतों में होने वाले छोटे-छोटे छेद होते हैं जो धीरे-धीरे बढ़ते हैं। ऐसा मुंह में मौजूद बैक्टीरिया के शुगर और रिफाइंड कार्बोहाइड्रेट पर पनपने और एसिड बनाने के कारण होता है, जो दांतों की बाहरी सख्त परत (इनेमल) को नुकसान पहुंचा सकता है।
आजकल दांतों में होने वाली सड़न की समस्या दिन-ब-दिन बढ़ती जा रही है। बच्चों से लेकर बड़ों तक, हर कोई इस समस्या से जूझ रहा है। दरअसल, सड़न होने के कई कारण हो सकते हैं। दांतों की साफ-सफाई न रखना, मुंह में बैक्टीरियल इंफेक्शन, मीठी चीजों का अधिक सेवन या कोई भी स्वास्थ्य संबंधी समस्या। लंबे समय तक दांतों में सड़न होने से दांत खराब होने लगते हैं।
ज़्यादातर मामलों में, जैसे ही आपको दांत में दर्द महसूस होता है, आप तुरंत अपने डेंटिस्ट से मिलने के लिए अपॉइंटमेंट बुक कर लेते हैं। हालाँकि, कुछ घरेलू उपचार भी हैं जो इंतज़ार के दौरान दर्द को कम करने में मदद कर सकते हैं। इनमें से एक उपाय है लहसुन।
लहसुन दांतों की सड़न के लिए क्यों काम आता है?
लहसुन को दांत दर्द से राहत दिलाने की तुलना में इतालवी व्यंजनों से ज़्यादा जोड़ा जाता है, हालाँकि इसे लंबे समय से इसके औषधीय गुणों के लिए सराहा जाता रहा है। लहसुन में सबसे प्रसिद्ध घटक एलिसिन है, जिसमें जीवाणुरोधी और रोगाणुरोधी गुण होते हैं। दांत दर्द पैदा करने वाले कुछ कीटाणुओं को मारने के लिए यह एक विश्वसनीय स्रोत है। एलिसिन ताज़ा कुचले या कटे हुए लहसुन में मौजूद होता है।
क्या लहसुन का पाउडर दांत दर्द में मदद कर सकता है?
अगर आपके पास ताज़ा लहसुन नहीं है, तो आप अपने दांत दर्द से राहत पाने के लिए लहसुन पाउडर का इस्तेमाल कर सकते हैं। दूसरी ओर, लहसुन के पाउडर में एलिसिन नहीं होता है और इसलिए यह दांत दर्द से राहत नहीं दे सकता। एलिसिन पूरे लहसुन में नहीं पाया जाता है; बल्कि, यह तब बनता है जब लौंग को कुचला जाता है, चबाया जाता है, कटा जाता है या काटा जाता है और यह केवल थोड़े समय के लिए मौजूद होता है।
लहसुन की एक कली चबाएँ (Home Remedies Cavities)
खराब दांत का उपयोग करके लहसुन की एक कली को धीरे से चबाएँ। इससे एलिसिन का उत्पादन होगा, जो आपके दर्द में योगदान देने वाले बैक्टीरिया को नष्ट कर देता है। चबाए गए लौंग को दांतों पर लगा रहने दें।
एक पेस्ट बनाएं
लहसुन को मोर्टार या चम्मच के पीछे से कुचलें और इसे थोड़े से नमक के साथ मिलाएँ, जो रोगाणुरोधी है और सूजन को कम कर सकता है। अपनी उंगलियों या रुई के फाहे से प्रभावित दांत पर मिश्रण लगाएँ।
ये भी पढ़ें:
.
