Dental Plaque: जानें क्यों जमा होता है दाँतों में प्लाक, इन घरेलू उपायों से करें दूर
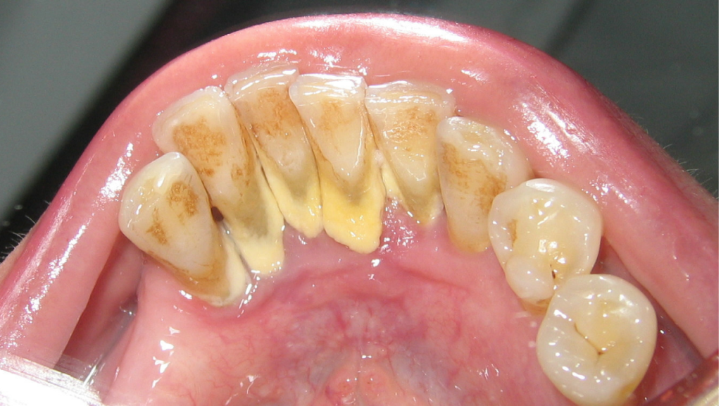
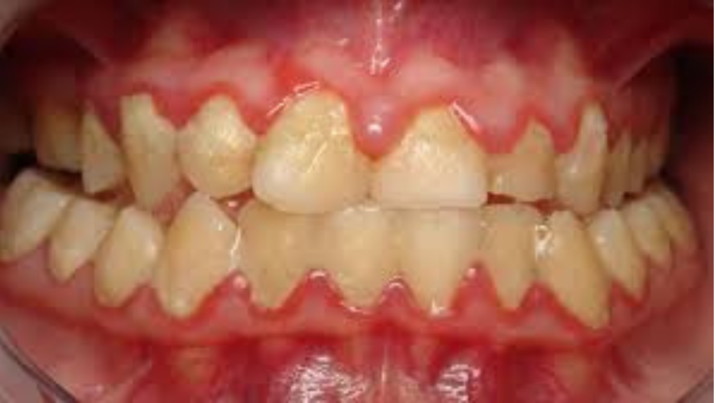
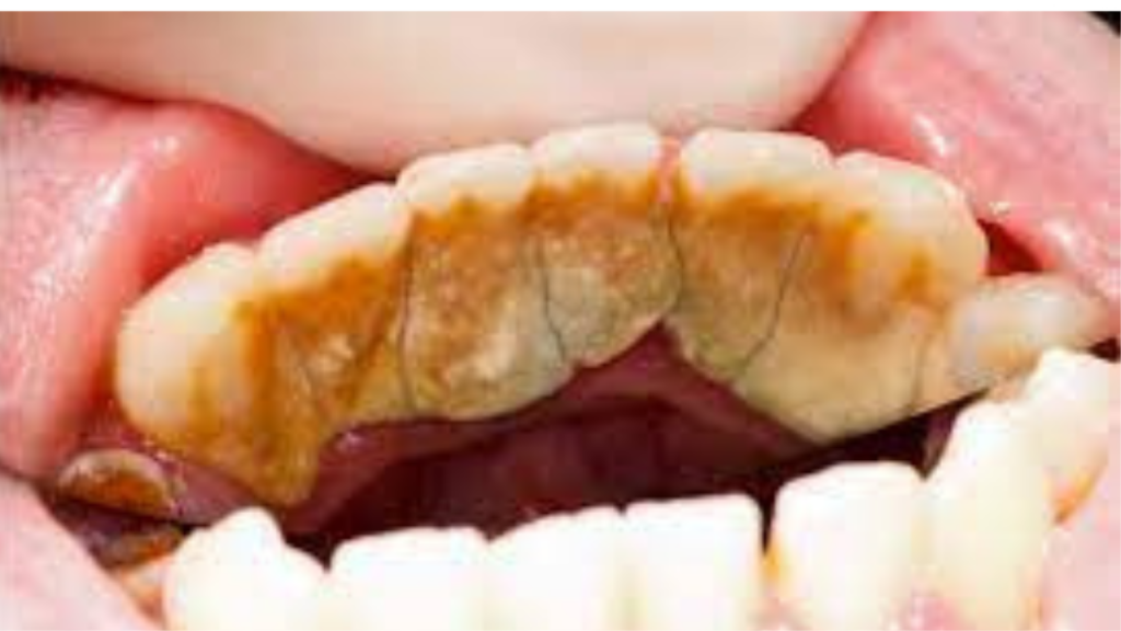
Dental Plaque: दाँतों में प्लाक बैक्टीरिया की एक चिपचिपी, रंगहीन फिल्म है जो दांतों और मसूड़ों पर बनती है। यह तब होता है जब मुंह में बैक्टीरिया भोजन के कणों और लार के साथ मिलकर एसिड का उत्पादन करते हैं जो दांतों (Dental Plaque) के इनेमल को नष्ट कर सकते हैं और दांतों की सड़न और मसूड़ों की बीमारी का कारण बन सकते हैं। प्लाक बिल्डअप एक आम मौखिक स्वास्थ्य समस्या है, लेकिन उचित दंत स्वच्छता (Dental Plaque) और घरेलू उपचार से इसे प्रबंधित और रोका जा सकता है। यहां बताया गया है कि दांतों में प्लाक क्यों जमा होता है और इसे प्राकृतिक उपचार से कैसे हटाया जाए:

प्लाक क्यों जमा होता है (Why Plaque Accumulates)
खराब मौखिक स्वच्छता: अपर्याप्त ब्रशिंग और फ्लॉसिंग से दांतों पर प्लाक जमा हो जाता है, खासकर दुर्गम क्षेत्रों में।
उच्च चीनी और कार्बोहाइड्रेट का सेवन: चीनी और स्टार्चयुक्त खाद्य पदार्थ मुंह में बैक्टीरिया के लिए ईंधन प्रदान करते हैं, जिससे प्लाक का निर्माण बढ़ जाता है।
शुष्क मुँह: लार का उत्पादन कम होने से प्लाक का निर्माण हो सकता है, क्योंकि लार मुँह से भोजन के कणों और बैक्टीरिया को धोने में मदद करती है।
धूम्रपान और तंबाकू का उपयोग: तंबाकू उत्पाद प्लाक संचय में योगदान कर सकते हैं और मसूड़ों की बीमारी के खतरे को बढ़ा सकते हैं।
आनुवांशिकी: लार की संरचना और मौखिक बैक्टीरिया को प्रभावित करने वाले आनुवंशिक कारकों के कारण कुछ व्यक्तियों में प्लाक बनने का खतरा अधिक हो सकता है।

प्लाक हटाने के घरेलू उपाय (Home Remedies to Remove Plaque)
ऑयल पुलिंग: एक बड़ा चम्मच नारियल तेल या तिल का तेल मुंह में 15-20 मिनट तक घुमाने से प्लाक और बैक्टीरिया को हटाने में मदद मिल सकती है। बाद में तेल थूक दें और पानी से मुँह धो लें।
बेकिंग सोडा पेस्ट: बेकिंग सोडा को थोड़ी मात्रा में पानी के साथ मिलाकर पेस्ट बना लें। पेस्ट को दांतों पर लगाएं और प्लाक और सतह के दाग हटाने के लिए धीरे से गोलाकार गति में ब्रश करें।
एप्पल साइडर विनेगर से कुल्ला: एप्पल साइडर विनेगर को पानी में घोलें और प्लाक को तोड़ने और बैक्टीरिया को मारने में मदद करने के लिए इसे माउथवॉश के रूप में उपयोग करें। सावधान रहें कि इसका बार-बार उपयोग न करें, क्योंकि यह दांतों के इनेमल को नष्ट कर सकता है।
फल और सब्जियाँ: सेब, गाजर और अजवाइन जैसे कुरकुरे फल और सब्जियाँ यांत्रिक रूप से प्लाक को हटाने और लार उत्पादन को उत्तेजित करने में मदद कर सकती हैं, जो मुंह को साफ करने में सहायक होती हैं।
हरी चाय: हरी चाय पीने या इसे माउथवॉश के रूप में उपयोग करने से इसके रोगाणुरोधी गुणों के कारण प्लाक गठन को रोकने और मुंह में बैक्टीरिया को कम करने में मदद मिल सकती है।
क्रैनबेरी जूस: क्रैनबेरी में ऐसे यौगिक होते हैं जो बैक्टीरिया को दांतों पर चिपकने और प्लाक बनाने से रोकने में मदद कर सकते हैं। बिना चीनी वाला क्रैनबेरी जूस पीना या साबुत क्रैनबेरी का सेवन फायदेमंद हो सकता है।
शुगर-फ्री गम चबाना: भोजन के बाद शुगर-फ्री गम चबाने से लार उत्पादन उत्तेजित होता है, जो भोजन के कणों को धोने और प्लाक निर्माण में योगदान करने वाले एसिड को बेअसर करने में मदद करता है।

प्लाक की रोकथाम के लिए अतिरिक्त सुझाव (Additional Tips for Preventing Plaque)
दिन में कम से कम दो बार अपने दांतों को फ्लोराइड टूथपेस्ट से ब्रश करें और दांतों के बीच की सफाई के लिए डेंटल फ्लॉस या इंटरडेंटल ब्रश का उपयोग करें।
शर्करायुक्त और अम्लीय फूड्स और ड्रिंक्स को सीमित करें, और प्लाक गठन को कम करने के लिए भोजन के बीच स्नैकिंग से बचें।
प्लाक और टार्टर बिल्डअप को हटाने और किसी भी मौखिक स्वास्थ्य समस्या का शीघ्र पता लगाने के लिए पेशेवर सफाई और जांच के लिए नियमित रूप से अपने दंत चिकित्सक के पास जाएँ।
धूम्रपान छोड़ें और तंबाकू उत्पादों से बचें, क्योंकि वे प्लाक संचय को बढ़ा सकते हैं और मसूड़ों की बीमारी और मौखिक कैंसर में योगदान कर सकते हैं।
गौतलब है कि इन घरेलू उपचारों (Dental Plaque) और निवारक उपायों को अपनी मौखिक स्वच्छता दिनचर्या में शामिल करके, आप प्रभावी ढंग से प्लाक को हटा सकते हैं, स्वस्थ मुंह बनाए रख सकते हैं और दंत समस्याओं के जोखिम को कम कर सकते हैं। हालाँकि, यदि आप लगातार प्लाक निर्माण या मसूड़ों की बीमारी (Dental Plaque)के लक्षणों का अनुभव करते हैं, तो पेशेवर मूल्यांकन और उपचार के लिए दंत चिकित्सक से परामर्श करना आवश्यक है।
यह भी पढ़ें: Honey Garlic Benefits: खाली पेट शहद में भीगी हुई लहसुन की दो कलियाँ करेंगी कमाल, बढ़ेगा इम्युनिटी
.

